CTとはcomputed tomography(コンピュータ断層画像)の略語です。通常のレントゲン写真が1方向からの投影写真であるのに対し、CTは体の周囲を回転しながらX線を照射し、断層画像(輪切り)を得る検査です。
以前は胸部の約30cmを撮影するのに30秒程度かかり、得られる断層画像は1cmの厚さでした。
最近ではMDCT(multi-detector CT)が登場し、短時間に広範囲かつ精密な画像を撮影することが可能となりました。例えば64列のMDCTでは、胸部から骨盤部の約70cmを13秒程度で撮影することができ、得られる画像は0.5〜0.6mmの厚さです。
当院では現在、Dual Energy CT 3台で検査を行っています。また、救急外来には320列のMDCT1台が稼働しています。


当院のMDCTで次のような画像を撮影することができます。
MRIとはmagnetic resonance imaging(核磁気共鳴画像)の略で、磁石が埋め込まれたトンネルの中に体を入れて、非常に強い磁石と微弱な電波を使って体の内部の原子の状態を画像にすることで、CT(コンピュータ断層画像)同様に体の様々な部位の断層画像を得ることが可能な検査です。
CTと比較すると、組織のコントラストがつきやすく多くの情報が得られる特徴がありますが、部位によってはCTよりも劣る点もあり、現状では検査の部位・目的によりCTとMRIが使い分けられています。また、MRI検査は強い磁場を使用するため、体の中に金属が存在すると検査を受けられないことがあります。検査時間はCTよりも長く、通常30分から1時間、場合によっては1時間以上かかることもあります。
当院では3T(テスラ)のMRI 3台で検査を行っています。
当院のMRIで次のような画像を撮影することができます。
検査後、放射線科専門医が撮影されたCTやMRIの読影を行って、依頼医にレポートを作成しています。
IVRとはinterventional radiologyの略です。「切らずに直す治療」「低侵襲治療」などと形容されますが、主に血管造影検査や画像機器を活用して局所麻酔下にて数ミリ以下の傷で治療を遂行することができます。
治療(IVR)を担当しています対象疾患は多岐にわたり、内科系・外科系など多くの診療科と協力して、様々な診断・治療を行っています。
業務の大部分は血管造影用X線透視装置を使用して診断・処置を行っています。
ほとんどの症例でIVR-CT撮影装置を用いて手技を行うことで、高精度の診断・治療を行う環境が整っています。
また、当部門専属の日本Interventional Radiology学会専門医を中心として、日常業務、臨床研修、研究を積極的に行っています。
以下にいくつかのIVR治療を提示します。
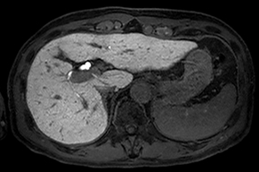
肝臓病に対する集学的治療
血管造影検査を用いた肝細胞癌に対する肝動脈化学塞栓療法。
カテーテルを腫瘍濃染の近くまで進めて塞栓しています。
内臓動脈瘤への経皮的塞栓術
脾門部の動脈瘤に対して塞栓用コイルにて塞栓術を施行しています。
その他、様々なIVRに対応しております。
ご不明な点などあればお問い合わせください。
核医学とは、微量の放射線を出す放射線医薬品を体に投与して、体の中の状態を画像にすることによって、機能を知ることができる検査です。
CTやMRIからは体の中の微細な形態的な情報を得ることができますが、核医学画像は機能的画像を得ることができ、CTやMRIで形態的異常が出る前の機能的情報を得ることができますので、より早期に微細な変化をキャッチすることができます。
微量の放射線薬剤を体内に注射後撮像を行うだけですので、体への負担が少ない検査です。
中でもSPECTとPETは体内の薬物の分布を3次元的に表示することができる検査で、SPECTは1方向、PETは2方向に放射線を出す放射線物質を用いる検査です。認知症、癌や内分泌の診断などに広く使用されています。
また、薬剤が特別な組織に集積することを利用し、大量投与による治療も行っています。
SPECT 認知症(アルツハイマー病)
PET 右肺癌
放射線は目に見えず、体に当たっても何も感じません。実は、私たちは普段から宇宙から降り注ぐ放射線や食物に含まれる微量な放射線などに毎日さらされながら、何の違和感もなく生活しています。
‘放射線は怖いもの‘とお思いの方も多いでしょう。確かに原発事故などのようにコントロールの効かない放射線は実に怖いものです。でも考えてみて下さい。火事が怖いからといって、火を使わない日常生活は考えられないし、包丁で怪我をするからといって、包丁のない世の中は考えられないでしょう。要はその危険性を熟知し、細心の注意を払いながら、最大の利益を得られるよう適切に使用することが大切なのです。
放射線は細胞の中にあるDNAを破壊します。私たちの体の正常な細胞は、DNAがある程度障害を受けても自分自身で修復できますが、一般に腫瘍細胞のDNA修復能力は正常な細胞に比べ、かなり低いことが知られています。このような性質の違いを利用して、腫瘍細胞にはできるだけ大きなダメージを与え、一方で正常な細胞への障害は可能な限り抑えようというのが、現在の放射線治療の基本的な考え方です。そのため腫瘍をやっつけるのに必要な放射線(の線量)を何回にも分けて照射し、ダメージと修復をくり返しながら、毎日治療していきます。そのため治療は数週間程度必要です。

私達は出来るだけ病巣だけに放射線が当たるように、放射線の種類や、照射方法を検討します。
ただし、放射線治療の効果が高い腫瘍もあれば、効果が期待できない腫瘍もあります。また腫瘍の種類や部位、進行度などによっても様々ですので個々の病状に合わせた治療方針が不可欠です。
また放射線治療は予定された一定期間継続して行わないと十分な効果が得られないため、途中で止めないようにすることが大切です。最後までしっかり頑張りましょう。
放射線治療医師

紹介医師からの情報提供書や検査結果とあわせて、あなたの病気に対して最もよい治療方法を検討します。放射線だけで治療する場合もありますが、薬剤や手術と併用する場合もあります。他の治療方法が放射線治療よりも優れていると思われる場合には、主治医と相談の上、そちらをお勧めすることもあります。
診察の際に、付き添いの方も交えて、放射線治療の必要性や予想される効果の程度、起こりうる障害の可能性などについてご説明します。何か不明な点や心配事がございましたら、気軽にご相談ください。
私たちの説明を聞いた上で、十分納得され、放射線治療を行う方針が決まりましたら、次に治療計画を行う日時を決定します。

CT撮像(診断に用いる通常のCT検査とは根本的に異なるもので、多くの場合、造影剤は使用しません、また場合によっては体を固定する道具も作成します)後、その画像データを用いて治療計画装置にて、どの部位にどのような照射をするのが最もよいかを検討し、照射部位と照射方法を決定します。 CT撮像作業に30分程度要します。その間、なるだけ動いてはいけません。
CTシュミレーター室

治療台の上で、治療計画の時と同じ姿勢をとり治療部位の確認後治療を行います。 治療の種類にもよりますが、1回の治療は10~25分程度で終わります。
放射線治療装置(2台)
週1回は治療担当医が診察を行い、治療効果や副作用についてチェックします
放射線の効果は、治療が終了してからもしばらく持続します。同時に放射線による障害も、 治療後しばらくしてから出現することがあります。十分お気を付け下さい。また治療が終了 してから定期的に当科外来を受診して頂くこともあります。
【注意していただきたいこと】

皮膚につけた印は、正確に治療する上でとても大切なものです。消えないようにお願いします。薄くなっても自分で書き足したりしないで、早めにご連絡ください。お風呂に入る際もゴシゴシこすらずに、シャワーで流してタオルで軽く抑える程度にして下さい。

皮膚に付けたインクが衣類に付いてしまうことがあります。汚れてもいい肌着などをあらかじめ準備しておくとよいでしょう。また、治療の際に照射部位を出しやすいものにしていただくと、治療がスムーズに行えます。
治療中は決して動かないでください。治療中に体を動かしますと、腫瘍に照射されないばかりか、正常な部位が被曝してしまいます。治療中に何かありましたら、声でお知らせください(治療中は外部からモニターで見ています)。
治療期間中は十分な休養と睡眠、バランスの取れた食事を心がけてください。 食事が進まないときには、1回に食べる量を減らして、何回かに分けて食べてみましょう。眠れない時や体調がすぐれない場合には、スタッフに御相談下さい。

治療中(~治療後1~2週)に体の中の白血球が少なくなる傾向があります。定期的な採血を行い、必要があれば白血球を増やす注射をしたり、場合によっては治療を一時休止したりこともあります。感染を防止するため、うがいや手洗い、マスクの着用をお勧めすることもあります。
何か不明な点がございましたら、医療スタッフにいつでも気軽に声をかけてください。
